
Orthopädie in der Tiermedizin
Die Diagnose und Behandlung von Erkrankungen des Bewegungsapparates. Untersuchung
Der häufigste Grund: Lahmheit.
- Allgemeine Untersuchung
- Orthopädische Untersuchung
- Neurologische Untersuchung
- Eventuelle Sedation - wichtig für genaue Diagnostik
Aufbau
- Spezifische Anamnese
• Wichtige Informationen
• Bild- und Videomaterial
- Kurzer Spaziergang auf unserem Gelände
• Gangbildanalyse
• Verschiedene Untergründe
• Verschiedene Perspektiven
• Schritt. Trab. Galopp
- Untersuchung
• Umfangreiches Manipulieren und Abtasten
• Beweglichkeit der Gelenke
• Muskeln, Bänder. Sehen
• Reflexe/Nerven
• Schmerzfaktoren
- Bildgebende Verfahren
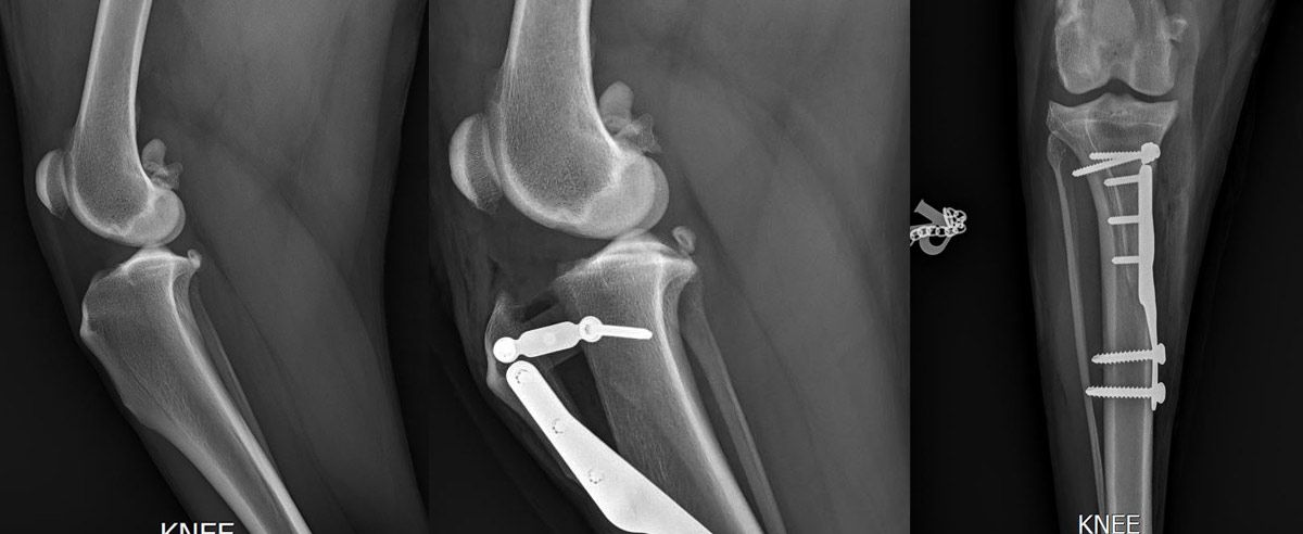
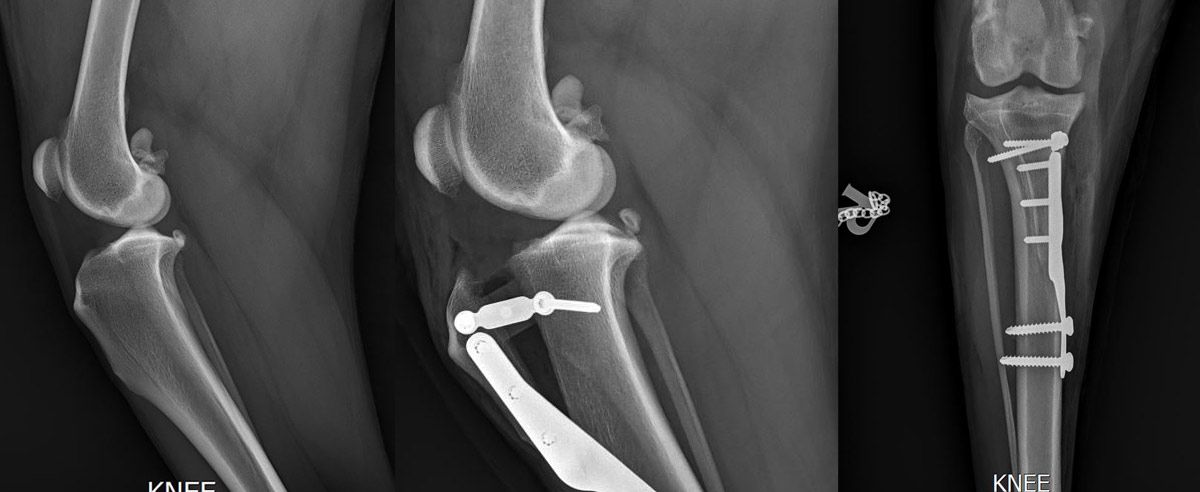
• Röntgenaufnahmen
- Leeraufnahmen
- Stressaufnahmen
• Computertomographie (CD
• Ultraschall (z.B. Sehnen}


